Cambridge-1 pioneers AI-led 3D image brain analysis

By Published On: August 2, 2021Last Updated: August 3, 2021
Cambridge-1 pioneers AI-led 3D image brain analysis

Securing new levels of insight into the human brain through AI-led 3D image creation is one of the first projects to be pioneered by the UK’s recently-launched most powerful supercomputer. 

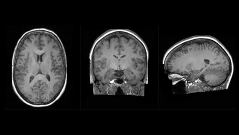
The Synthetic Brain Project focuses on building deep learning models that can synthesise artificial 3D MRI images of human brains. These models can help scientists understand what a human brain looks like across a variety of ages, genders, and diseases.

The aim of developing the AI models, using the Cambridge-1 supercomputer, is to help diagnose neurological diseases based on brain MRI scans, but it may also be used to predict diseases that a brain may develop over time and enable preventative treatment. 

The use of synthetic data has the additional benefit that it can ensure patient privacy since the images were generated, enabling the research to be opened up to the wider UK healthcare community.

Without Cambridge-1, launched by NVIDIA earlier this year, the AI models would have taken months versus weeks to train and the resulting image quality would not have been as clear. 

Researchers at King’s College London and NVIDIA used Cambridge-1 to scale the models to the necessary size using multiple GPUs, and then applied a process known as hyperparameter tuning, which dramatically improved the accuracy of the models.

Cambridge-1 enables accelerated generation of synthetic data that gives researchers at King’s the ability to understand how different factors affect the brain, anatomy, and pathology,” says Dr Jorge Cardoso, senior lecturer in Artificial Medical Intelligence at King’s. 

“We can ask our models to generate an almost infinite amount of data, with prescribed ages and diseases; with this, we can start tackling problems such as how diseases affect the brain and when abnormalities might exist.” 

NVIDIA

NVIDIA Cambridge-1 supercomputer

The introduction of NVIDIA’s Cambridge-1 supercomputer poses new possibilities for groundbreaking research like the Synthetic Brain Project. King’s College London and other leading healthcare institutions will use Cambridge-1 to accelerate groundbreaking research in digital biology on disease, drug design, and the human genome.

Cambridge-1 is one of the world’s top 50 fastest supercomputers, built on 80 DGX A100 systems, integrating NVIDIA A100 GPUs, Bluefield-2 DPUs, and NVIDIA HDR InfiniBand networking.

King’s College London is leveraging NVIDIA hardware and the open-source MONAI software framework supported by Pytorch and NVIDIA’s software solutions like cuDNN and Omniverse for their Synthetic Brain Project. 

The increasing efficiency of deep learning architectures, together with hardware improvements, have enabled the complex and high-dimensional modelling of medical volumetric data at higher resolutions. 

Vector-Quantized Variational Autoencoders (VQ-VAE) have been an option for an efficient generative unsupervised learning approach that can encode images to a substantially compressed representation compared to its initial size, while preserving the decoded fidelity. 

After the images are encoded via the VQ-VAE, the latent space is learned via a long-range transformer model optimised for the volumetric nature of the data and associated sequence length. 

The sequence length caused by the 3D nature of the data required unparalleled model sizes that were only made possible by the multi-GPU and multi-node scaling provided by Cambridge-1. 

NHS Trust secures strong outcomes through Care Co-Ordination Centre
Accelerator to support next generation of sector-changing ventures