
Radiobotics has extended its partnership with US teleradiology practice Virtual Radiologic (vRad), to develop a full suite of software algorithms to enhance the speed and accuracy of bone fracture X-ray studies.
Radiobotics develops AI models that can support timely and accurate diagnosis of fracture cases across the skeleton.
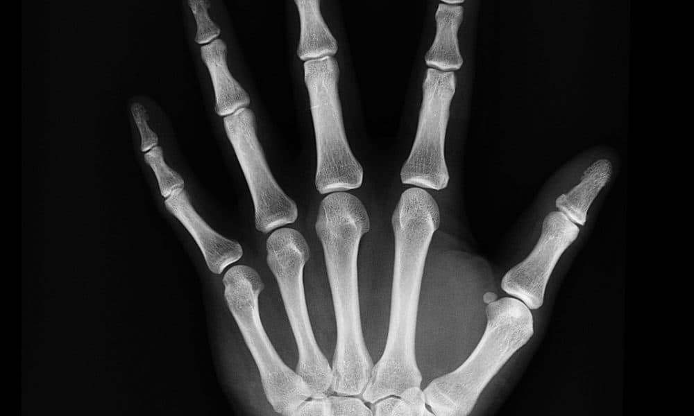
Bone fractures are a costly public health issue around the world, and a major burden to individuals, families, societies, and healthcare systems.
A spokesperson for Radiobotics said, in the United States, an estimated 3.5m fractures occur annually. And the total direct medical costs for one hip fracture amount to more than USD 53,000 over the first 12 months.
Radiobotics and vRad have been collaborating since 2020 to help ease this burden.
Stine Mølgaard Sørensen, co-founder and president of Radiobotics, said this new phase represents a key milestone in the partnership, further enhancing Radiobotics’ capabilities in quickly developing and validating high-quality algorithms within musculoskeletal radiology and vRad’s expansive national dataset.
“Fractures can lead to a patient’s work absence, decreased productivity and disability as well as high healthcare costs, and for Radiobotics it is important to address this severe issue.
“Therefore, we are very proud to announce this extended partnership with vRad, being an exclusive development partner on creating a broad fracture and trauma product portfolio.
“It builds on Radiobotics’ ambition to develop clinically validated algorithms for X-ray diagnostics covering 70 per cent of the skeleton.”
Imad Nijim, vRad ‘s chief information officer, said the tools, intended for use among vRad’s existing network of 500 radiologists, aim to offer the highest standard in clinical X-ray diagnostics.
“Combining vRad’s extensive experience using AI for practical applications in radiology with Radiobotics’ expertise in software development focused on musculoskeletal radiology, will allow us to deploy these important tools more quickly for the benefit of our clients and patients.”










